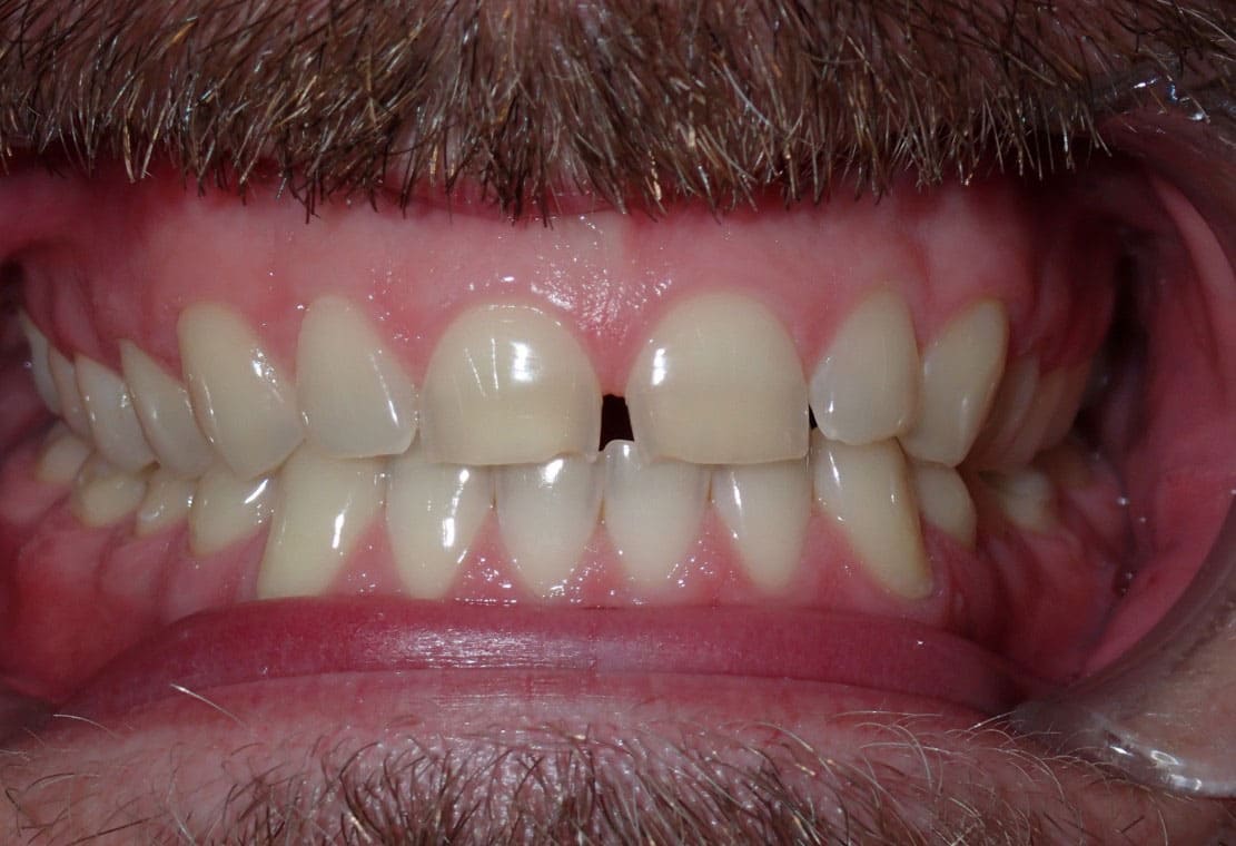
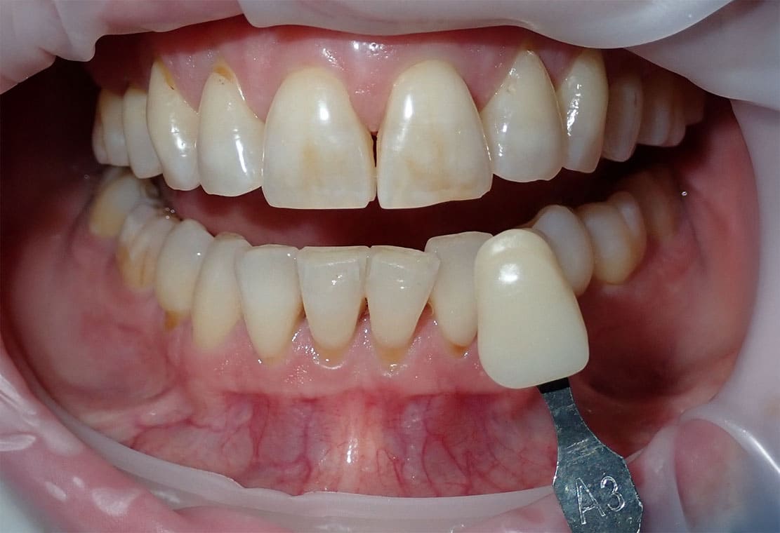
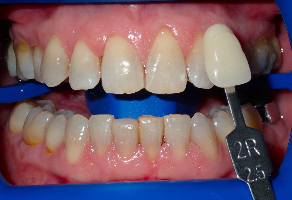
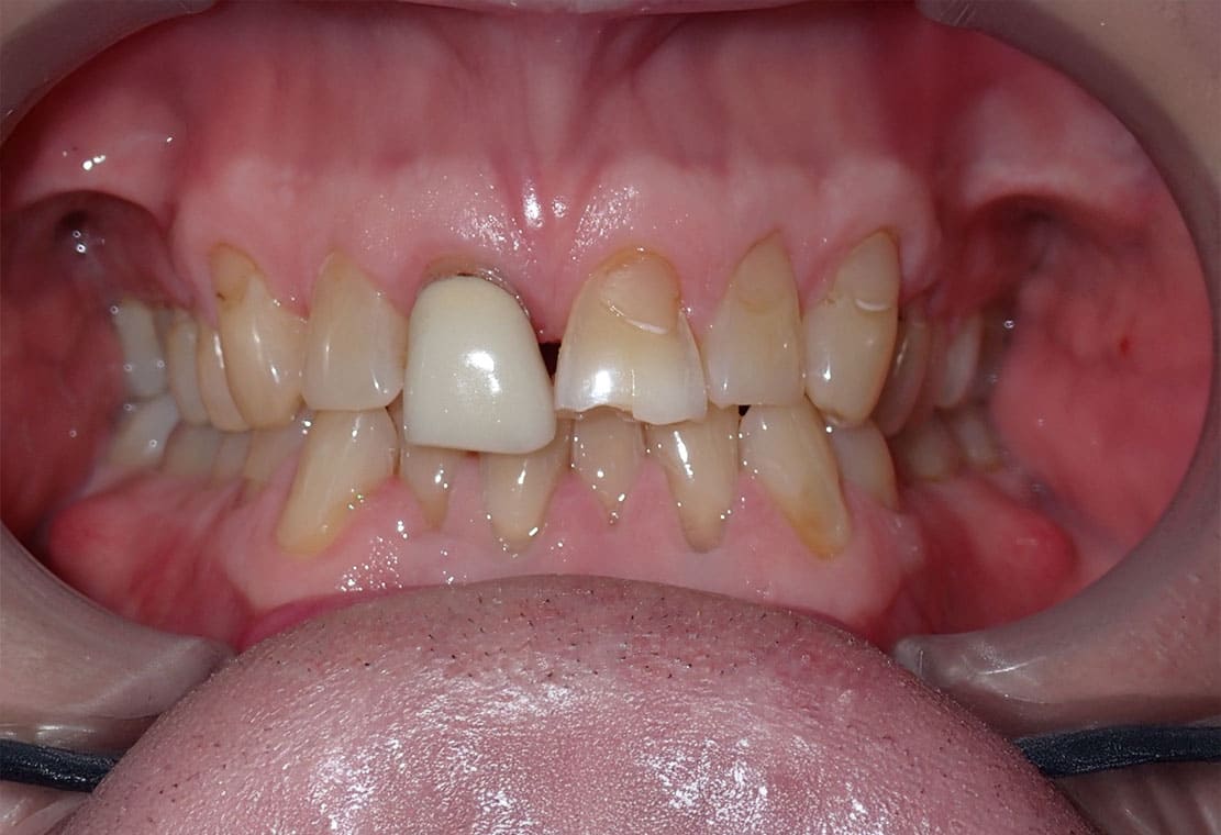
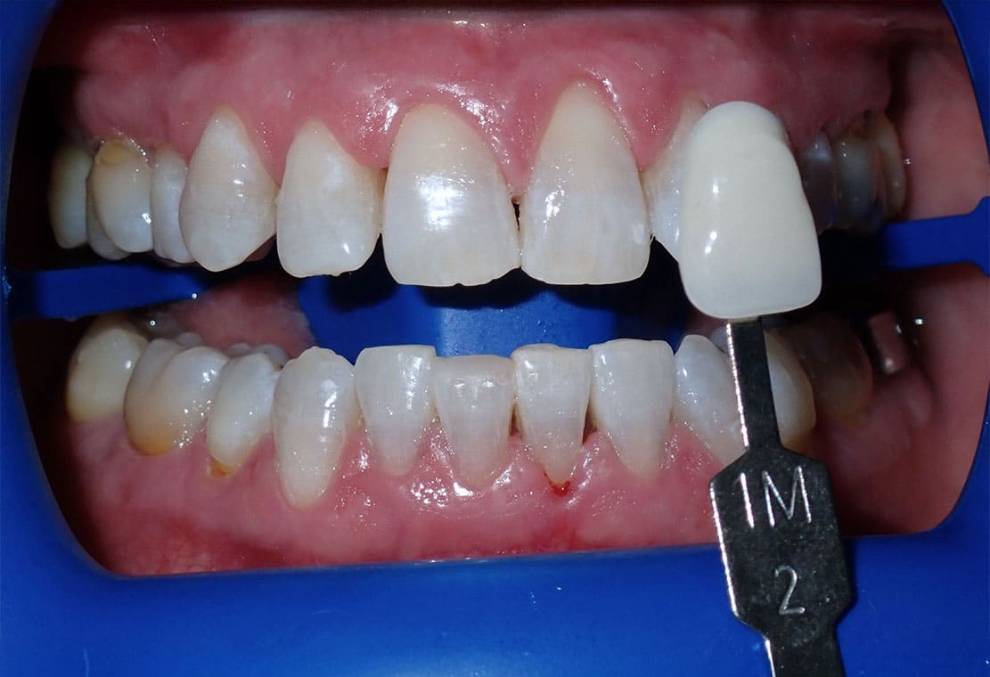
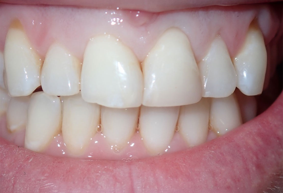
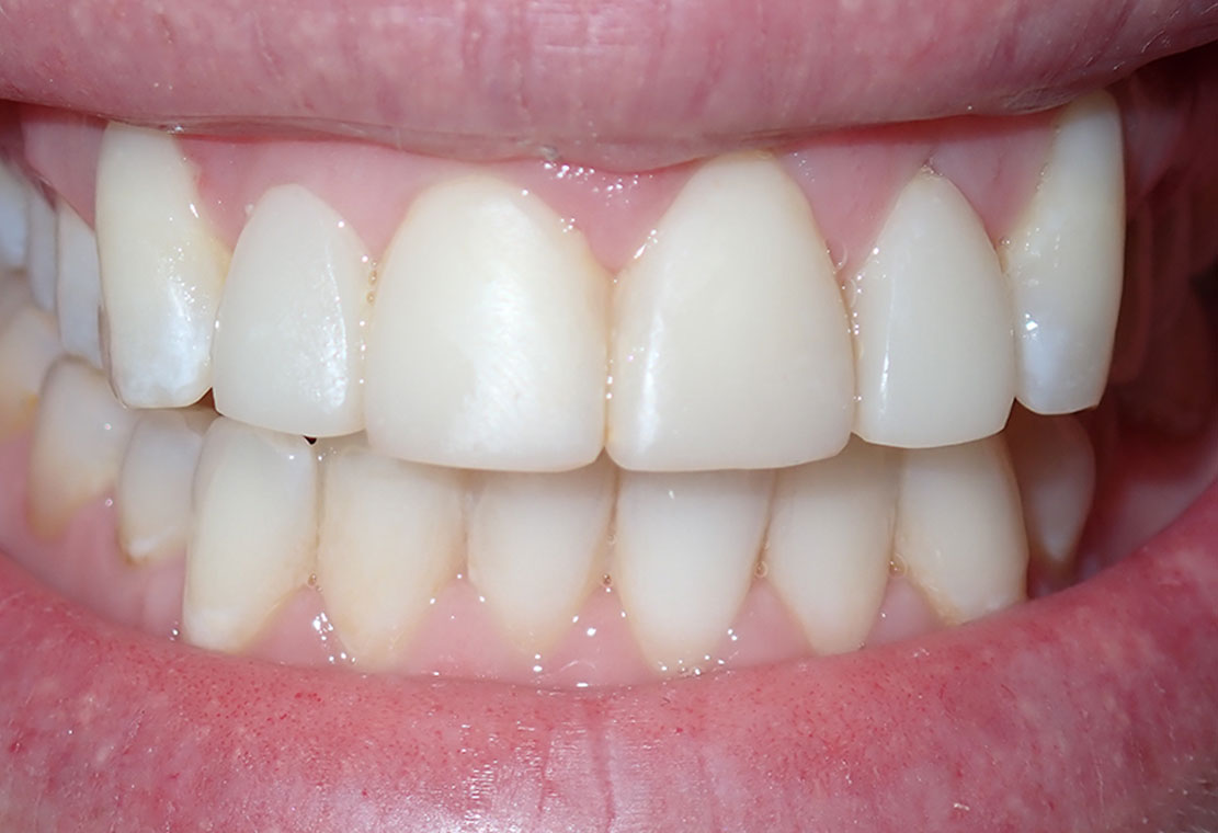
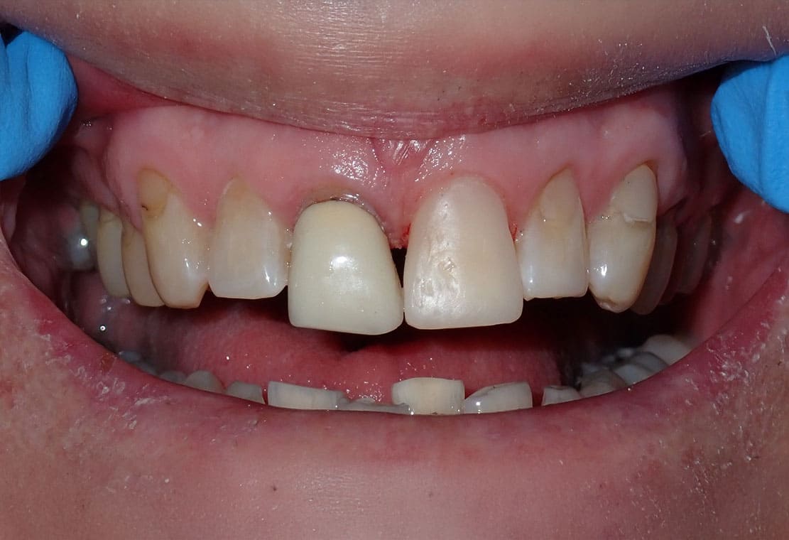
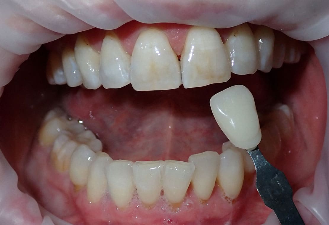
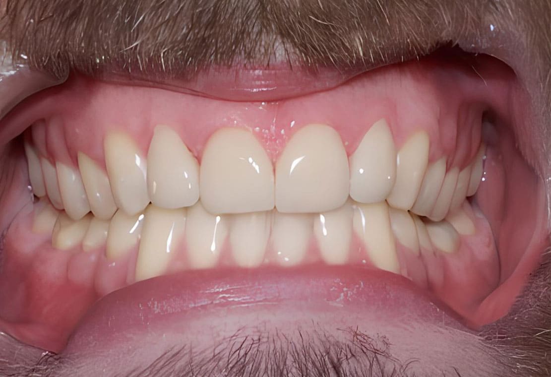
Before & After Gallery
See the Magic Happen – Real Results, Real Smiles
Book your appointment online now and experience the Lily’s Dental Magic difference.
BOOK NOW
Our Services





Book your appointment online now and experience the Lily’s Dental Magic difference.
BOOK NOW
Our Services




